Протезирование 1 зуба или всей челюсти с анатомической точностью за 1 день

Центр гнатологии и ортопедии доктора Богатова Е.А.
8 минут пешком от м. Академическая
Москва, ул. Дмитрия Ульянова, д. 36
от 21 100 руб.
Даже при убыли кости, пародонтите или диабете
Поможем даже в самых сложных случаях, когда другие отказались
Если у вас уже есть снимок КТ — возьмите его с собой.
Без дискомфорта и натираний десен
Узнайте честную стоимость вашего случая и получите бесплатную консультацию с планом лечения 3000 0 ₽
Протезы с природным рельефом, выглядят как свои зубы
Команда лучших протезистов со стажем от 12 до 23 лет
Врачи клиники победили в премии ПроДокторов 2025
Выбор пользователей
Яндекса 2025
Опыт 12 лет
  • Главный врач, ведущий стоматолог-ортопед высшей категории, ортодонт, гнатолог
  • Кандидат медицинских наук
  • Врач года в номинации: Гнатолог
Богатов Евгений Алексеевич
Льготы для пенсионеров

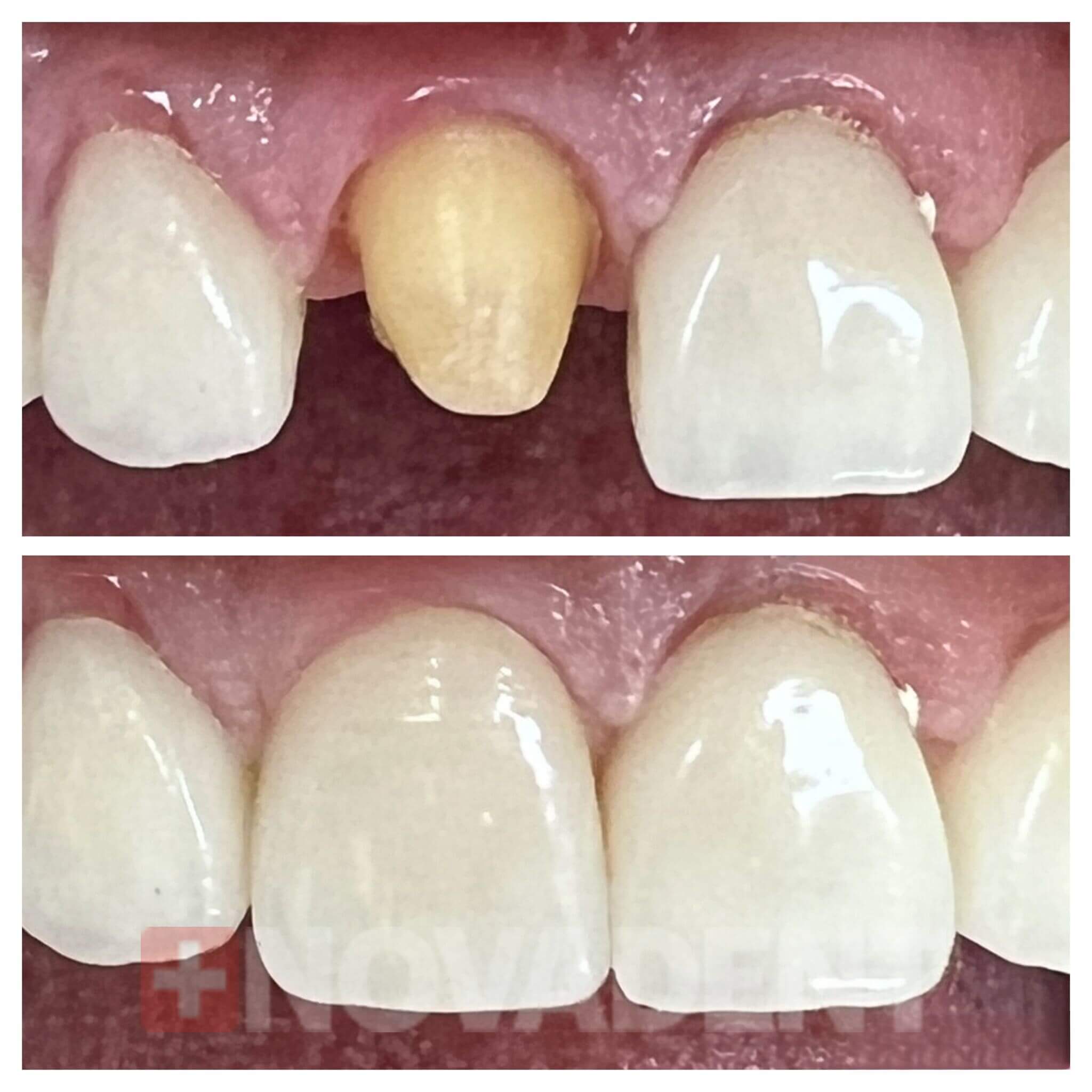
Посмотрите, как преображается улыбка после лечения в Новаденте

Вы получите новые зубы с сохранением полной анатомии, совсем неотличимые от утраченных зубов

Изготовим протезы и коронки в своей лаборатории точно под вас

Без многочисленных примерок — добиваемся комфорта в день установки
Никто не догадается о протезе — изготовим для вас зубы, неотличимые от настоящих
Подберем с вами идеальный оттенок зубов, который не изменится в процессе носки
Протез будет анатомически подходить под вашу челюсть и НЕ ощущаться во рту
С равномерной жевательной нагрузкой без последствий и поломок коронок или протеза
Без неприятных слепков — цифровое сканирование полости рта без рвотного рефлекса и 0% погрешности

На бесплатной консультации подберем протез или коронки под ваш случай

Изучим состояние десен, челюстно-лицевой области и оценим тип костной ткани
Предложим 3 плана лечения с точными сроками и ценами
или звоните

Цены ниже рыночных на 20% и установка в тот же день — ни дня без зубов!

Рассрочка — 0 % без первоначального взноса
Мы изготовим крепкие протезы без посредников и лишних примерок в нашей лаборатории за 1 день:
(не кредит). Оформляется за несколько минут в клинике без дополнительных справок
Не переплачиваем посредникам и не зависим от их загрузки
Закупаем материалы напрямую у производителей в большом количестве
Гарантия на протез и работу врача
+
+

В нашей клинике доступны все современные виды протезирования

Каждый случай рассмотрим отдельно, проведём точную диагностику и подберём необходимое вам лечение
не будут выпадать и вызывать рвотный рефлекс

Съемные протезы нового поколения

с прилипающим эффектом
из легких и прочных полимеров повышенной износостойкости
не обязательно использовать фиксирующие кремы, которые могут вызывать раздражение или аллергию
не выпадают
прилипают к слизистой оболочке рта, за счет специальной конструкции и материалов создается вакуумный эффект
без рвотного рефлекса, в полной мере ощущения вкуса и запаха любимых блюд
без неба

Рассчитайте стоимость протезирования и узнайте, какой метод вам подойдет

Закрепим за вами бесплатную консультацию с планом лечения 3000 0 ₽
Какой протез предпочтительнее?
*Select one or more options
Сколько зубов вам нужно восстановить?
Какая у вас сейчас ситуация?
Нужна ли вам рассрочка?
Когда планируете начать лечение?
Укажите номер телефона, на который отправить расчет + закрепим подарки

Вас будут лечить врачи высшей категории международной квалификации

После работы наших врачей не потребуется переделок и вы больше не будете ходить с неудобным протезом
Богатов Евгений Алексеевич
главврач, кандидат медицинских наук, ортопед, гнатолог, ортодонт
Врач года в номинации: «Гнатолог»
Протезов
5000+
12 лет
Опыт
Восстанавливает не только эстетику, а учитывает нагрузку на суставы и жевательную мускулатуру
Восстанавливает зубы в сложных случаях с нехваткой костной ткани
Опыт
23 года
10000+
Протезов
стоматолог-ортопед высшей категории, ведущий врач
Кухаренко Лев Александрович
Устанавливает удобные протезы с ювелирной точностью по 3D-шаблонам

Имеем высокий рейтинг на независимых порталах

4,8 из 5
рейтинг
4,9 из 5
рейтинг
5 из 5
рейтинг
5 из 5
рейтинг
4,9 из 5
Все потому что пациенты доверяют нам и рекомендуют своим близким
рейтинг
Проверенные Яндексом отзывы о клинике. Стоматология Елены Мокренко получила награду от Яндекс «Хорошее место»

Начните с бесплатной консультации главного врача со стажем 12 лет

Проведём детальную диагностику с помощью 3D-сканера
Рассчитаем стоимость со всеми скидками исходя из ваших возможностей
Составим 3 плана лечения с точными сроками и ценами
Поможем вернуть 13% с суммы лечения
*Она бесплатная и ни к чему не обязывает

Ждем вас в нашем центре протезирования

ИМЕЮТСЯ ПРОТИВОПОКАЗАНИЯ, НЕОБХОДИМА КОНСУЛЬТАЦИЯ СПЕЦИАЛИСТА
Все права защищены. Обращаем ваше внимание на то, что данный Интернет-сайт носит исключительно информационный характер и ни при каких условиях не является публичной офертой, определяемой положениями Статьи 437 Гражданского кодекса РФ
ООО «Био Дент»
Лицензия на осуществление медицинской деятельности ЛО-77-01-004766 от 22.03.2012
Бесплатная большая парковка у клиники
Удобно добираться на авто и общественном транспорте
Академическая
Москва, ул. Дмитрия Ульянова, д. 36
Не уходите с пустыми руками!
Ни к чему вас не обязываем, просто хотим помочь выбрать клинику
Это займет всего 1 минуту!
Рассчитайте стоимость своего лечения, чтобы было с чем сравнить
Богатов Евгений Алексеевич
Главврач, стоматолог-ортопед, кандидат медицинских наук, гнатолог
Подождите!
Мы используем cookie, подробнее
OK
Made on
Tilda